
「歯が抜けたままでも、しばらくは問題ないでしょうか?」
「見た目以外に影響はありますか?」
といったご質問をいただくことがあります。
患者さん
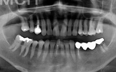
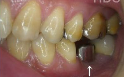
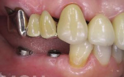
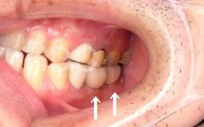
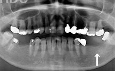
歯が抜けたまま放置していたところ、周りの歯が動いてしまいました。どうすれば良いでしょうか?
Dr.武田
歯のズレが軽度であれば、調整や詰め物で対応できる場合がありますが、大きく傾いてしまっている場合には、矯正治療や被せ物による対応が必要になることもあります。ズレが進行する前に、早めに検査と治療を受けることをおすすめします。
患者さん
見えない部分であれば、保険適用のブリッジ(銀歯)でもインプラントでも、効果は同じですか?
Dr.丸尾
ブリッジとインプラントでは、前後の歯の寿命に大きな違いがあります。ブリッジでは、支えとなる歯を虫歯がなくても大きく削る必要があり、さらに噛む力が通常の1.5倍かかるため、その寿命が短くなりがちです。実際の統計によると、ブリッジの支えとなる歯の68%が、10年以内に抜歯を余儀なくされるという結果が出ています。
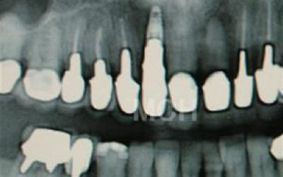
歯が抜けた後の治療には、
インプラント・ブリッジ・入れ歯の
3つがあります。
※左右にスクロールしてご覧ください
|
インプラント
|
ブリッジ
|
入れ歯
|
|
|---|---|---|---|
| 歯を削る | 削らない | 削る | 少しだけ削る |
| 周りの歯への 力の負担 |
負担をかけない | 非常に大きい | 大きい |
| 使用感 | 自分の歯に近い感覚 | 銀歯の場合は目立つ | 異物感を感じやすい |


噛むとき、誰でも歯に何十キロもの力がかかっています。当然、歯の本数が減れば減るほど、残った歯にかかる負担は大きくなります。ブリッジ治療の場合、失われた歯にかかっていた力は、前後の歯で支えることになります。その結果、残った歯には、抜歯していないときに比べて1.5〜2倍程度の力がかかることになります。

入れ歯を使うと、バネをかけている歯や残っている歯への負担が大きくなります。多くの方が無意識のうちに残っている歯で噛んでしまうため、使用頻度が非常に高くなり、過剰な力が加わります。その結果、歯が折れたり、残っている歯の寿命が短くなることがあります。しかし、インプラントの場合、人工歯根を通じて骨が力を支えるため、残っている歯への負担は圧倒的に少なくなります。

ブリッジなどの治療では、前後の歯を大きく削る必要があります。場合によっては、虫歯がないのに歯の神経を取らなければならないこともあります。実際、神経を取って被せ物をすると、その歯は一気に「最終段階」に進んでしまうのです。しかし、インプラント治療では、前後の歯を削ることも、神経を取ることもありません。歯の寿命を延ばすためにも、健康な歯をできるだけ削らないことが非常に重要なのです。

入れ歯の場合、毎食後に外して歯を磨いたり、入れ歯を洗う手間がかかります。また、バネが見えたり、見た目が気になることもあります。入れ歯は取り外し式の装置なので、元の歯のように使うにはどうしても限界があります。一方、インプラントは固定式なので取り外す必要がなく、煩わしさが圧倒的に少なくなります。見た目も、他の人にはほとんどわからない場合が多いです。
インプラント治療には、知っておいていただきたい点がいくつかあります。
まず、インプラント治療には健康保険が適用されないことをご理解ください。
またインプラント治療を受ける前にしっかりとした診査と診断が重要です。
具体的には、以下のような事項を総合的に考慮して治療計画を立てます。

安全で長持ちするインプラント治療を行うためには、正確な検査が欠かせません。
10年、20年後もより良いお口の健康を保つことを目指しています。
インプラントを成功させる
5つのPOINT
1
CLINICAL ORAL
IMPLANTOLOGY
メーカーが発行する認定と違い、
学会が指定する症例数や治療経過などの
基準を満たした上でテストをクリアした歯科医師のみに認定されます。
2
経験の違いは、治療の質の違いです
3

アストラテックやオステムなどのインプラントメーカーから表彰されております。
4

1人の歯科医師の視点でなく、複数のドクターでCTの診断や計画を立てています。
5
感染対策は万全に行っており、ニュースで報道されているような
器具の使い回しは一切ありませんので、ご安心ください。
私たちは、インプラントだけでなく
残っている歯も大切にしています。
インプラント治療の
3つのリスクと対策

通常、インプラントの適正な
年間症例数は100~200件です。
当院はこれを超えないことを
大切にしています。
医療は、工業製品を販売することとは異なります。歯科医師が1人1人の患者様と向き合うことで、治療が成り立ちます。そのため、私たちは許容量を超える治療は行いません。
*横にスライド/スワイプしてご覧ください
当院のインプラント治療費は明確に設定されているのでご安心ください。

治療費で不安が無いように、全ての費用が含まれる明確な治療費(※)となっています。
患者さん
治療費のお支払いのタイミングはいつになりますか?
Dr.西村
治療開始時に総額の半分をお支払い頂き、残りの半分は治療の後半でお支払いいただきます。
患者さん
費用を一括でお支払いすることが難しい場合は、どのように対応すればよいでしょうか?
Dr.明石
治療費は2回に分けてのお支払いが可能です。さらに、もっと多くの回数で分割支払いをご希望の方には、デンタルローンをご利用いただけます。デンタルローンは、クレジットカードの分割払いよりも金利が低いため、分割する場合はかなりお得です。
スルガ銀行のデンタルローンが
ご利用いただけます。




「より良い治療を受けたいけど、先生にお金の相談をするのが気が引ける…」という方もご安心ください!
クリニックを介さず、銀行と直接ローン契約ができます!
デンタルローンの契約は、クリニックへの相談なしで手続きが可能です。銀行の調査によると、デンタルローンを利用した方の約40% がご自身で検索して申し込んでいます。当院はローン契約に一切関与しないため、ローンを検討していることや、審査状況、お借入れ額などが当院に知られることはありません。費用についてご相談いただいた際には、デンタルローンのパンフレットをお渡しいたします。
「デンタルローン」なら、
一般的なクレジットカードの
リボ払いや分割払いより低金利だから返済総額や
月々の返済額が抑えられる!
患者さん
医療費控除は使えますか?
Dr.齋藤
医療費控除を活用することで、実質的な割引のように感じることができます。所得税率やその他の医療費の総額によって異なりますが、インプラント費用の約30%が医療費控除で戻ってくる場合もあります。
詳しくは、医療費控除の詳細チラシをご覧ください。

インプラント治療では、安心・安全を最優先に考え、末永くご使用いただけることを目指しています。
万が一、何かトラブルが発生した場合には、安心していただける保証制度を設けております。
この制度は、さらにご安心いただけるように整えた仕組みです。

※当法人では2種類のインプラントを部位によって使い分けております。
インプラント本体は5年間、100%クリニック負担にて保証。
その後、6年⽬より段階的にクリニック負担割合は減りながら、10年間の保証。
上部構造物は3年間、100%クリニック負担にて保証。


定期的なメンテナンスを受けていただいていても、インプラントにトラブルが生じた場合、使用期間に応じて修理や再製作の費用をクリニックで負担いたします。
もちろん、その後も継続的なメンテナンスを行うことで、長期間にわたりご使用いただけるものです。

インプラントだけの安いインプラント
専門の医院で受診する場合には
注意してほしいことが3つあります。
医院選びのポイント01
医院選びのポイント02
医院選びのポイント03



Dr.山川
激しい運動や飲酒は、治療後3日ほど控えてください。
入浴は1~2日はシャワーだけにしておくのが望ましいです。
普段の生活には特に問題ありませんので、ご安心ください。

Dr.勝亦
基本的には成人の方であれば、どなたでも治療を受けられます。
ただし、重い全身疾患がある場合は、担当医とよくご相談ください。

Dr.加賀谷
奥歯の1〜2本の場合で、体に負担のかからない仕事であれば、翌日からの仕事復帰は問題ありません。
また、手術当日でもデスクワークであれば働く方も多くいらっしゃいます。

Dr.立花
麻酔をかけますので、手術中の痛みはまったくありません。ご安心ください。

Dr.齋藤
天然の歯と同じように、3ヶ月に1回のメンテナンスをおすすめしています。
定期的なケアで、インプラントとご自身の歯を長く健康に保ちましょう。

Dr.山川
歯科の統計データをご紹介します。
インプラントは、10年経っても約90~95%の確率で問題なく使い続けられています。
一方、ブリッジの場合は、10年後に残っているのは約30~35%にとどまります。
ブリッジが使えなくなる主な原因は、支えている歯が悪くなり抜歯が必要になるケースがほとんどです。

Dr.勝亦
状態によって異なりますが、治療期間はおおよそ2〜3ヶ月ほどです。
ただし、毎週通院する必要はありません。
また、骨を増やす治療が必要な場合は、その分さらに約3ヶ月ほど追加でかかることがあります。

Dr.加賀谷
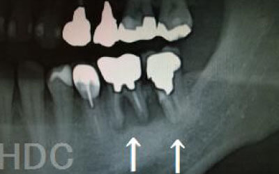
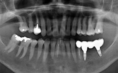
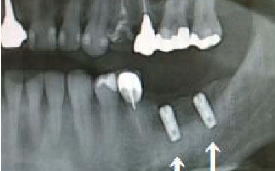
CTを使うと、骨や歯の状態を立体的に確認でき、正確な距離も測定できます。
骨の厚さや傾き、神経の位置などを事前に詳しく把握することで、安全にインプラント治療を行うことができるのです。

Dr.立花
医療費控除をご利用いただけるため、実質的に費用が割引されるような形になります。
控除の金額は所得税率や年間の医療費総額によって変わりますが、インプラント費用の約20~30%が還付されるケースが多いです。
※詳しくは医療費控除の詳細チラシをご覧下さい。

Dr.齋藤
治療費は基本的に2回に分けてお支払いいただけます。
もっと多くの回数で分割払いをご希望の場合は、デンタルローンをご利用いただけます。
デンタルローンはクレジットカードの分割払いよりも金利が低いため、分割払いを検討されている方にはおすすめです。
詳しい内容は、デンタルローンを取り扱う銀行の公式サイトをご覧ください。
https://www.surugabank.co.jp/reserved/landing/dentalplus/

Dr.山川
治療開始時に総額の半分をお支払いいただき、残りの半分は治療の後半にお支払いいただく形になります。

Dr.勝亦
歯周病の進行度によりますが、インプラント治療は可能です。
ただし、まず歯周病の検査をしっかり行い、必要に応じて先に歯周病治療を行うことが欠かせません。
また、噛み合わせの調整や治療後の定期的なメンテナンスを行い、長持ちさせることも非常に重要です。

Dr.加賀谷
大きく3つポイントがあります。
1 料金の落とし穴
ホームページに安いインプラント料金が掲載されていても、実際に診察を受けると「○○さんの状態ではその料金のインプラントは適用できません」と言われ、結果的に高額な治療になるケースも少なくありません。
そのため、インプラント専門医院を選ぶ際は、信頼できるかかりつけ医からの紹介を受けることをおすすめします。
2 メンテナンスに通えるか?
インプラントは装着したら終わりではなく、どれだけ長く健康に保てるかが非常に重要です。
そのために欠かせないのが定期的なメンテナンスです。
しかし、インプラント専門医院の場合、メンテナンスだけのためにずっと同じ医院に通い続ける必要があり、治療後も時間や手間がかかることがあります。
このメンテナンスを怠ると、保証が受けられなくなるケースも少なくありません。
ですから、治療後も無理なくメンテナンスに通えるかどうかが、インプラント治療を成功させる上で大切なポイントとなります。
3 責任が曖昧で保証してくれないことも
インプラント専門医院の中には、メンテナンスを自院で対応せず、地元のかかりつけ歯科でのメンテナンスを事実上勧めるところもあります。
トラブルがなければ問題ありませんが、歯周病や噛み合わせの影響でインプラントが悪くなった場合、どちらの医院が責任を持つのか不明確になり、保証が受けられないケースもあると聞いていますので注意が必要です。
お口の健康問題は複雑に絡み合っているため、通常の治療やメンテナンスも行っている歯科医院で治療を受けることが望ましいです。
もしインプラント専門の医院を受診する場合は、かかりつけ医からの紹介を受けるのが安心です。
身体のことですから、工業製品のように不具合があれば簡単に取り替えられるわけではありません。
そのため、将来を見据えた十分な検討と納得の上で治療を決めることが非常に重要です。

Dr.立花
基本的には、虫歯や歯周病の治療も行っている歯科医院での治療をおすすめします。
なぜなら、インプラント治療は単に歯が抜けた部分に人工歯を入れるだけでなく、残っている歯の歯周病の状態や噛み合わせのバランスも含めて総合的に治療計画を立てる必要があるからです。
そのため、虫歯や歯周病、噛み合わせ、メンテナンスなどお口全体を管理してくれるかかりつけの歯科医院で治療を受けるのが理想的です。
もしかかりつけの医院でインプラント治療を行っていない場合は、紹介を受けてインプラント専門の医院で治療を受けると良いでしょう。

Dr.齋藤
お口の状態や噛み合わせによって異なるため、一概には言えませんが、基本的には奥歯、特に一番奥とその手前の大臼歯部分がおすすめです。
噛み合わせの力の約60%以上がこの奥の二本の歯で支えられているため、ここをインプラントでしっかり治療することが非常に効果的です。

Dr.山川
残っている歯を守るという観点から見ると、ブリッジをしてからインプラントに移行するのは、あまりおすすめできない治療の流れです。
というのも、ブリッジをする際には両隣の健康な歯を大きく削る必要があり、場合によっては神経を取る処置まで必要になることがあります。
これにより、削った歯への負担が大きくなり、結果としてその歯の寿命が短くなってしまうのです。
将来的にインプラントを検討しているのであれば、最初からインプラントを選んだ方が、歯へのダメージを最小限に抑えられる、より良い選択といえるでしょう。

Dr.勝亦
骨が薄い状態では、そのままインプラントを行うのはおすすめできません。
しかし、事前に骨を増やす処置を行ったり、インプラント埋入と同時に骨造成を行うことで、インプラント治療は十分に可能です。

Dr.加賀谷
インプラント治療でのリスクは3つあります。
1 インプラントと骨が結合しないリスク
人の身体は工業製品のように単純ではなく、個人差による反応があるため、まれに(100人に1人程度の割合で)うまく結合しないことがあります。
ただし、そのような場合でも、インプラントのメーカーや種類を変更することで、ほとんどの場合は問題なく結合するため、過度に心配する必要はありません。
2 神経を傷つけるリスク
顎の骨の中には神経が通っており、インプラント治療の際にそれを傷つけてしまうリスクがあります。
しかし、当院では事前にCT撮影を行い、神経までの距離を三次元的に正確に把握した上で治療計画を立てるため、リスクをしっかり回避できます。
さらに、骨を削りすぎないようにするための専用のストッパーも導入しており、安全性には十分に配慮しています。
3 歯周病でインプラントが抜けるリスク
細菌(歯垢)の影響で、インプラントを支える歯ぐきや骨が痩せてしまうことがあります。
そのため、インプラント治療だけでなく、残っている天然歯の歯周病検査や治療もしっかり行うことが非常に重要です。

Dr.立花
インプラントの利点は、入れ歯のように取り外す必要がなく、自分の歯のようにしっかり噛めることです。
中でも最大のメリットは、周囲の歯に負担をかけずに済む点にあります。
ブリッジや入れ歯の場合は、隣の歯に負担がかかり、その結果として他の歯まで弱って抜歯に至ることがあります。
しかしインプラントは独立して機能するため、周囲の歯に一切負担をかけません。
そのため、残っている歯を長持ちさせるためにも非常に優れた選択肢といえます。

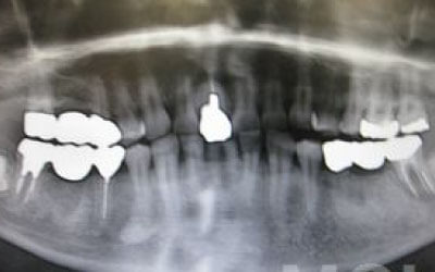
Dr.齋藤
最も大きな違いは、前後の歯の寿命に影響が出ることです。
ブリッジの場合、抜けた部分の前後の歯を大きな虫歯と同じくらい削る必要があります。
また、抜けた歯の力を前後の歯が支えているため、ブリッジを支える歯には常に1.5倍の負担がかかることになります。
1)ブリッジ
2)歯を大きく削る+支えの歯に1.5倍の力がかかる
3)前後の歯の寿命が著しく減る
ブリッジの支えの歯は、データでは10年以内に68%が抜歯になります。

Dr.山川
「少しずれた程度なら、噛み合わせを調整したり、小さな詰め物で修正することができます。
しかし、抜けてから数年経過して大きく歯が傾いている場合は、歯並びの矯正を行うか、歯を大きく削ってかぶせ物をする必要があります。

Dr.勝亦
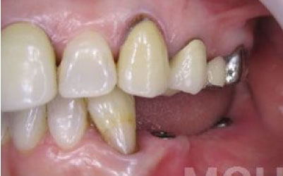
しばらくすると抜けたままでも慣れてきますが、大きな問題が発生します。
1 周囲の歯が早く抜ける
抜けた歯にかかるはずだった噛む力が、無意識のうちに他の歯に負担をかけてしまいます。その結果、残っている歯が急に折れてしまい、最終的に抜歯が必要になることがよくあります。
2 歯が傾いてくる、落ちてくる
歯はお互いに支え合ってバランスを取っています。ですので、歯が抜けるとその支えがなくなり、抜けた部分の隣の歯が倒れたり、上の歯が下に下がってくることがあります。

Dr.齋藤
歯が抜けた後の治療について、多くの方が悩まれています。
特に、抜けたのが前歯ですとなおさら気になりますよね。
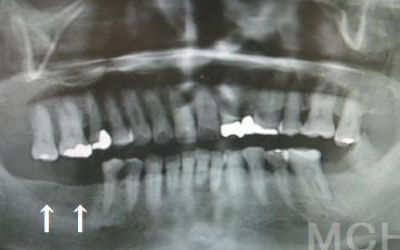
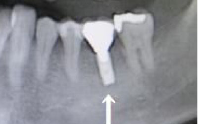
今回のご質問ですが、抜けた部分の骨が薄いなどの理由で「インプラントはできない」と言われた可能性があります。
前歯はもともと骨が薄く、歯が抜けると時間の経過とともにさらに骨が痩せてきてしまうので、インプラント治療の難易度が高い場所です。
ただ結論からお話すると、インプラント治療は可能です。
なぜなら、もし仮に骨が薄くても、骨の治療によって厚みが増せば、安全にインプラント治療が行えるからです。
なお、前歯のインプラント治療をご希望の方には、注意していただきたい点が4つほどあります。
1)インプラント治療を行う前に、骨の治療が必要かもしれません。
2)骨の治療から始めると、その分、治療期間が長くなります。
3)骨の治療は、通常のインプラント治療よりも難易度が高いため、経験の豊富な先生やインプラント認定医のいる歯科医院で治療を受けることをお勧めします。
4)骨の状況をしっかり把握するためにも、CT撮影が必須となります。
また、インプラント治療においては、周囲の歯の状況や咬み合わせの問題などもしっかりと考えて治療するのがとても大切です。
そのため、残っている歯についてもきちんと診査してくれるクリニックが良いでしょう。
インプラント治療には、「インプラントを入れたら終了」というイメージがありますが、治療後、どれだけ長くインプラントがもつのかが最も大切なことなので、しっかりとメンテナンスしてもらえる歯科医院を選んでください。
まずは、いくつかの歯科医院でインプラントの相談をして比較検討し、ご自身が良いと感じた先生のところで治療を受けることをお勧めいたします。
長くもつ
インプラントを
したい
残っている歯も
守りたい
認定医による
安心の治療の
提供
インプラント
だけの治療は
したくない
より良い関係性で
長くお口の健康を
守りたい
インプラント治療は、信頼できる医院を選び、ご自身に合った治療計画を見つけることが非常に大切です。
お体は一生付き合っていくものだからこそ、焦らず慎重に考えることをお勧めします。
私たちは、丁寧な説明と万全のサポートを提供し、患者様が安心して治療に臨める環境を整えています。
まずはお気軽にご相談ください。
ご相談いただくだけで
得られるメリット
MERIT 01
MERIT 02
MERIT 03
MERIT 04
MERIT 05
お急ぎの場合は、お気軽に
お電話ください!